

会形成囊肿,但一般卵泡黄素化形成的囊肿都是生理性的,会自行消失,不用担心。不过有些会导致下月月经推迟或月经少量的现象。建议下次月经干净3-7天复查B超,发现囊肿有减少或者被吸收了的,则不需要处理。
如果没有减少,甚至变大了,则是病理性的,应及早检查治疗,这可能要做手术。
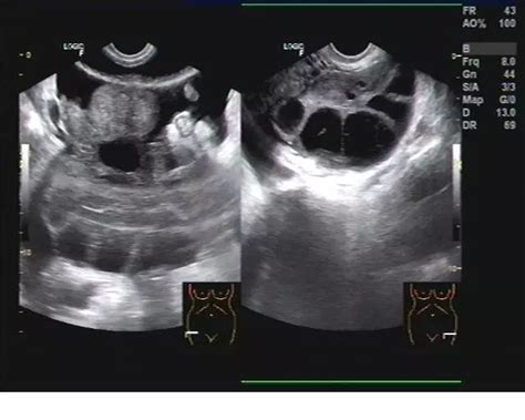
卵泡发育成熟了,若是因内分泌失调,体内激素不足导致卵泡不能破裂,就会变成卵泡黄素化囊肿,这种囊肿形态规则,囊壁菲薄,且囊液透声好,它多是生理性的,可自行消失,不需要干预治疗。

卵泡黄素化是转成囊肿了吗(图片来源网络)
最为准确的判断方法就是做卵泡监测检查。
正常情况下成熟卵泡会很快排卵,当排卵后就会消失。但当超声显示成熟卵泡一直不排卵消失,在持续增大,也无直肠子宫陷凹游离液,这就表示卵泡黄素化了。